Trần Minh Quân

 

 

 

MUỖI VÀ MÙI
 
                                                Trần Minh Quân

 

 

Tại sao lúc nào muỗi cũng đốt bạn? - Docneem Việt Nam

 
                               

 

 

 

 

 

Muỗi chích

Thật là khó chịu với tiếng vo ve của muỗi bên tai.. Vo ve, tuy gây bực mình, nhưng bị muỗi chích còn nguy hại hơn vì có thể mắc những bệnh nguy hiểm.. như sốt rét, sốt vàng da, sốt dengue, bệnh Zika (chikungunya)..


 
                                 Regardez de l'intérieur la piquante tête chercheuse du moustique en quête  de sang (Vidéos) - GuruMeditation
                      Cách muỗi hút máu bên dưới da người                                     
 

 

  • Vài điều về sinh học của muỗi..

 
   Có rất nhiều tài liệu về Muỗi, từ cấu tạo cơ thể, chu kỳ sinh sản và những bệnh do Muỗi gây ra (truyền mầm bệnh) Xin mời đọc và theo các ‘link' đính kèm.

 
  • Cấu tạo cơ thể muỗi (Anatomy)

             https://askbiologist.asu.edu/mosquito-anatomy

   1718031176168blob.jpg

Cơ thể học Muỗi của Arizona State University

 
  • Chu kỳ đời sống (Cycle of life)

 
1718031345800blob.jpg

 
    Mosquito life cycle

 
  • Các bệnh liên quan đến muỗi (Mosquito-borne disease)

 
            1718032756683blob.jpg

 
         Bảng : Bệnh liên quan đến muỗi.

 
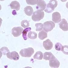
   Ghi thêm :Trong Bảng, xếp hàng đầu là Bệnh Sốt rét (malaria), và còn có Bệnh Sốt xuất huyết là những bệnh do muỗi, thường gặp tại Việt Nam. Trước 1975, tại Đại Học Dược Khoa Saigon có môn Parasitologie (Ký sinh trùng học) do GS Nguyễn Vĩnh Niên giảng dạy, có Phòng Thực tập, nơi SV được hướng dẫn cách tìm và phân biệt Plasmodium falciparum và Plasmodium vivax là 2 ký sinh trùng chính gây bệnh Sốt rét..qua kính hiển vi.

 
       1718032954046blob.jpg   1718033001722blob.jpg
  Plasmodium falciparum và Plasmodium vivax

 
                                  Understanding the Zika Virus Spread in 3 GIFs

 
                      Cách muỗi truyền bệnh zika qua người

 

  • Mùi cơ thể

 

    Về mùi của người xin đọc Bài số 1 : Thơm và Hôi trong loạt 4 bài Mũi và Mùi


 

Xin chép lại vài đoạn  đáng chú ý về ‘Mùi' có thể liên hệ đến bài này :

 

“ Mùi, bao gồm thơm và hôi, là những phân tử hóa học ở những thể lỏng hay thể khí, có khối lượng phân tử thấp, khoảng dưới 400 dalton, để có thể bốc thành hơi, đi qua lỗ mũi và thấm qua màng nhày trong mũi, để được biến đổi thành những tín hiệu thần kinh chuyển về não bộ..”

 
.. “Một yếu tố quan trọng trong việc tạo ra mùi cơ thể là sự hiện diện của những vi khuẩn, những nấm sống ký sinh ngoài da, đặc biệt là nhóm vi khuẩn Corynebacterium, sản xuất ra những men lipases, những men này phân cắt các phân tử chất béo trong mồ hôi thành những phần tử nhỏ hơn như butyric acid. Chính những phân tử nhỏ hơn này đã tạo cho cơ thể một mùi đặc biệt và riêng cho từng người..”

 

  “ Trong mồ hôi của nhiều người có propionic acid hay propanoic acid, qua trung gian của propionibacterium sống nơi tuyến mồ hôi; do propionic acid có mùi tương tự như acetic acid nên mùi của các người nay có thể có ..mùi chua?..”

 

  • Muỗi và mùi của người..

 

  • Bộ óc và hệ thần kinh của muỗi

 
                            1718033269375blob.jpg


 

                       Óc của muỗi

 

   “Nhỏ như mắt muỗi"; Mắt đã nhỏ thì óc đâu có to! Nhưng muỗi lại có bó óc thật đặc biệt Các nhà nghiên cứu của ĐH Princeton tìm ra : Óc muỗi có 60 trung tâm thần kinh gọi là glomeruli (danh từ số ít là glomerulus), và với giả thuyết ban đầu là ‘muỗi' tìm ra đối tượng để ‘chích' là do hoạt động kết hợp của nhiều glomeruli.. nhưng thật sự lại chỉ do 2 trung tâm! một trung tâm cảm ứng với nhiều mùi khác nhau (kể cả mùi con người), và một trung tâm lại chỉ cảm thụ riêng với mùi của người.

 
  Muỗi có những tế bào thần kinh tại antenna và tại các ‘mảnh hàm sờ (xúc biện hàm)=maxillary palps (phần phụ nhỏ nơi hàm muỗi). Mỗi neuron có thể chỉ ‘cảm ứng' với một loại receptor? Tất cả neurons đáp ứng với một receptor đều  được ‘kết nối' với một glomerulus.
                      1718033466586blob.jpg

 

                Hình phóng to của Antenna muỗi

 

  • Muỗi tìm ra người ?

 
   Khi bay tìm ‘thực phẩm' (muỗi cần máu người để đẻ trứng), Muỗi dùng 3 ‘hệ thống' tại antenna:

 
  • Muỗi phát giác được CO2 do hơi thở của người, từ khoảng cách 25 đến 50m. Bay đến gần hơn, các cảm ứng = sensors tại antenna cảm nhận, bị dẫn dụ do mùi của da.

 
  • Đến gần hơn nữa, Muỗi cảm nhận hơi nóng của người..
  • Sau khi đáp uống da, muỗi dùng các cảm ứng vị giác = taste sensor tại chân, tìm ra vị trí thích hợp để chích.. Khi chích, muỗi hút máu đồng thời nhả vào da nước bọt. Nước bọt của muỗi khởi động một phản ứng của hệ miễn nhiễm (của người bị chích) gây ngứa và phồng da..

 

       1718033711811blob.jpg  1718033752471blob.jpg

 

                         Hình mô tả.. muỗi chích

 

 

  • Mùi da người ?

 
   Mùi phát ra từ da người là mùi pha trộn của nhiều hợp chất hữu cơ, thành phần đã được phân cht khá kỹ, tuy nhiên vẫn chưa rõ! Mùi này chưa biết là có thay đổi theo thời gian hay không ? Đa số các nghiên cứu chỉ chú trọng vào mùi gây ‘khó chịu của nách và không chú ý nhiều vào mùi phát ra từ ngoài da, nơi bị muỗi chích. .

 
   Cho đến nay, các nhà khoa học chưa xác định được ‘chất hay hợp chất nào' riêng biệt, có tác dụng thu hút muỗi, để muỗi chích người này mà không chích người khác, dù ngồi cạnh nhau? Có thể người ‘không bị chích’ lại có mùi mà muỗi phải tránh?

 
   Các nhà nghiên cứu đã gọi những người được muỗi ‘chú ý' (khoảng 20% dân số) là những Mosquito magnet. Muỗi Aedes aegypti cái, có một khả năng bẩm sinh (innate)) giúp tìm đến người, dùng các tín hiệu giác quan (sensory cues) bao gồm carbon dioxide thoát ra từ người, hơi ấm cơ thể và mùi của da..

 
    CO2, hơi ấm là những biểu hiện chung của động vật ‘máu nóng' và mùi của da là yếu tố chính để ‘thu hút' muỗi.

 
     Có nhiều giả thuyết để giải thích sự kiện ‘mosquito magnets’ nhưng đa số không chứng minh được theo khoa học:

 
  • Giả thuyết nhóm máu ABO, cho rằng muỗi ưa người nhóm máu O, không chứng minh được vì các thử nghiệm lại cho những kết quả.. trái ngược ! (PubMed PMID: 705842).

 
  • Lý thuyết cho rằng ăn tỏi để chống muỗi cũng không.. kết quả thật sự. Ăn tỏi, hơi thở có mùi tỏi nhưng da lại không phát ra mùi tỏi.

     (https://pubmed.ncbi.nlm.nih.gov/15752181/


 
Tuy nhiên, thoa tỏi, dầu sả trên da thì.. muỗi không đến.

 
  • Một nghiên cứu cho rằng có thể do di truyền nên người ‘mosquito magnet’ có một ‘thành phần' nào đó ngoài da để thu hút muỗi?

 
  • Có một số trường hợp ‘thu hút muỗi' khi cơ thể có sự thay đổi bất thường như khi mang thai, khi đã bị nhiễm ký sinh trùng sốt rét, và khi.. uống bia?

 
   Hiện nay, giải thích khả tín nhất là Muỗi bị thu hút do các hợp chất trên da người, nhưng chưa xác định được một chất đơn độc, mà chỉ tạm chấp nhận là do một hỗn hợp' pha trộn.

 
   Hỗn hợp các chất tạo mùi có thể hấp dẫn muỗi nhiều hay ít, tùy thành phần và tỷ lệ của các chất trong hỗn hợp:

 
  • Hợp chất Pha trộn ammonia và lactic acid khá hấp dẫn muỗi.

 
  • Các Carboxylic acid, có thể không tác dụng hay chống muỗi khi dùng đơn độc hay pha trộn với các acid cùng nhóm, nhưng khi phối hợp với ammonia và lactic acid lại thành một hợp chất thu hút muỗi rất mạnh.

 

Scientific American giải thích Carboxylic acids là nhóm hóa chất hữu cơ thông thường. Acid này được sản xuất tại sebum, lớp chất nhờn trên da của người, acid giúp giữ độ ẩm cho da và bảo vệ da. Người phóng thích carboxylic acid nhiều hơn thú vật, và số lượng ‘thoát ra' khác nhau, tùy cơ thể mỗi người.

 

  • Sinh học phân tử và genes trong vấn đề ‘thu hút muỗi' .

 

   Theo NIH (National Institutes of Health) :  Muỗi sử dụng 4 loại phân tử gọi là co-receptors để tìm ra mùi. Các nhà nghiên cứu đã ‘chuyên biệt hóa' các co-receptors này theo từng nhóm muỗi.. 3 trong số các co-receptors khi lấy đi một, làm muỗi mất ‘ái tính' với hơi người ! 3 co-receptors này có tác dụng cảm thụ với các hợp chất có tính acid trên da người và các nhà nghiên cứu đã tìm được hoạt tính ‘dụ muỗi’ của nhóm carboxylic acid.

 
   Science Direct ghi rõ hơn:

 
   Muỗi sử dụng hai Nhóm đa-gen lớn (Multigene) để khám phá các tín hiệu (cues) về mùi:  một nhóm mang mã số kênh ions hành lang mùi (encode odor-gate ion channel, gọi là  odorant receptors (ORs) và nhóm thứ 2 là nhóm hướng-ion, hay ionotropic receptors (IRs) ORs và IRs không có liên hệ với nhau nhưng cả hai phối hợp thành một Phức hợp có nhiều đơn vị phụ (multi-subunit complex) Phức hợp (Complex) này  gồm một ligand các đơn vị phụ được tuyển chọn (selective subunit) và một co-receptors subunit (không cảm ứng với mùi). Côn trùng  có cả trăm ligand-selective ORs và IRs nhưng chỉ có một OR co-receptor (Orco) và ba IR co-receptors (Ir8a, Ir76b, và Ir25a). Muỗi Aedes aegypti có 116 ligand-selective ORs và 132 ligand-selective IRs, khi  hợp chung lại, hai nhóm odor-gate ions channel này giúp muỗi có một cảm ứng  rộng với nhiều ligands hóa học.

 
  • ORs thường đáp ứng với esters, alcohol, ketones và aldehydes.
     
     
  • IRs đáp ứng với carboxylic acid và amines.

 
  Do sự phối hợp trên, nên khi bị gây biến chứng (bằng các phương pháp DNA hybridization và RNA gene-sequencing), một gen co-receptor có thể làm côn trùng mất khả năng nhận thức được một nhóm chất tạo mùi nào đó. Tuy nhiên muỗi đã chứng tỏ là chúng có một khả năng ‘phục hồi = resilient' với các chuyển đổi gene. Côn trùng dù thiếu các receptor-chính với CO2, Gr3 vẫn bị dẫn dụ để tìm đến người. Muỗi do đột biến  Orco lại mất đi tính ‘đánh hơi' phân biệt người và thú vật khác! Đột biến Ir8a làm mất khả năng nhận thức lactic acid (một yếu tố quan trọng trong mùi da người) nhưng vẫn còn khả năng, tuy giới hạn, tìm được ‘hơi' người..

 

   Có thể tóm lược :” Đột biến, gây ra  thiếu Ir8a, I76b và Ir25a tuy vẫn giữ khả năng ‘mosquito magnets' nhưng cũng làm giảm bớt rất nhiều sự thu hút để muỗi tìm ra mùi của da người…..

 

                                                                 

 

    Chú giải : Giả thuyết cổ điển (canonical model), [phần trên của hình], biểu hiện (expression) tế bào thần kinh tạo một loại single-receptor, và tất cả các neurons có receptor này lại nối kết thành một glomerulus chuyên biệt..

 
  Các nghiên cứu mới tìm thấy neurons của muỗi có thể ‘biểu hiện’ nhiều loại receptor khác hơn và neuron với các receptors khác nhau này có thể cùng kết nối với glomerulus  [phần dưới của hình].

 

             (Hình từ Tập san CELL 185:1-20, 2022)

 

  • Kết luận

 

Houston Methodist On Health có bản tổng kết ..

 
   Có 6 lý do để muỗi ‘thích' người này hơn người kia hay 6 lý do để được là “Người yêu của Muỗi '.

 
1- Kích thước cơ thể: Người có cơ thể càng lớn thì lượng CO2 thở ra càng nhiều và Muỗi càng dễ tìm đến?

 
2- Nhiệt độ cơ thể: Muỗi dùng nhiệt độ cơ thể của động vật như giúp tìm mục tiêu. Nhận xét ‘dân gian' cho thấy muỗi thường bu vào người có độ ấm cơ thể cao..

 
3- Thoát mồ hôi: Việc toát mồ hôi thường đi chung với nhiệt độ cơ thể và các hoạt động chân tay như tập thể dục. Mồ hôi tuy không có mùi với người, nhưng lại có mùi riêng với muỗi.. Muỗi bị dẫn dụ do lactic acid và ammonia trong mồ hôi. Người vừa tập thể dục, làm việc lao động.. khi vừa ngưng, thường bị muỗi bu?

 
4- Thời gian mang thai: Nhận xét chung ghi nhận Phụ nữ mang thai được Muỗi .. thích hơn? Lý do giải thích là do lượng CO2 thở ra gia tăng (khoảng 20% khi mang thai) và nhiệt độ cơ thể của phụ nữ có thai cũng cao hơn bình thường.. Hai yếu tố kết hợp lại để ‘dụ' muỗi..

 

5- Các vi sinh vật sống trên da:

    Mùi của cơ thể được tạo ra do tác động của các vi sinh vật sống trên bề mặt của da = microbiota (xin đọc các bài Mũi và Mũi, đã dẫn ở phần đầu bài). Các vi sinh vật này chuyển hóa các hợp chất trong mồ hôi để thành các hóa chất dễ bay hơi có mùi.. Nhiều chất biến dưỡng này có khả năng thu hút muỗi.. Mỗi cá nhân có thể có những chủng vi sinh vật khác nhau sống trên da, nên mùi cơ thể của mỗi người khác nhau.. Đây cũng có thể là một lý do để muỗi thích người này hơn người khác?..

 
   Tuy nhiên có một nghiên cứu lại cho thấy thành phần vi sinh vật của microbiota kém đa dạng = diversity lại được muỗi chuộng hơn và muỗi 'chê' người có microbiota đa chủng?

 
6- Đồ ăn và thức uống: Thực phẩm và thức uống có ảnh hưởng đến mùi của cơ thể và đến các hợp chất toát ra ngoài da và microbiota chuyển hóa thành mùi. Ăn uống cũng làm tăng nhiệt độ cơ thể, vá có thể gây toát mồ hôi. Có những nhận xét.. như ăn tỏi và uống Vit B hầu như không ảnh hưởng đến việc giúp khỏi bị muỗi chích!  Nhưng có trường hợp uống bia và ăn chuối lại bị muỗi.. bu nhiều hơn?

 

                                              Trần Minh Quân 6-2024

 

 

 

Trở Về Trang Chính